CEREC (Chairside Economical Restoration of Esthetic Ceramics) is a method of CAD/CAM (computer-aided design and computer-aided manufacturing) dentistry developed at Zurich university and has been successfully used for more than 25 years.
CEREC allows us to provide our patients with highly aesthetic, tooth-colored fillings created and placed during a single dental appointment. No impressions or temporaries are needed and the materials are metal free and biocompatible.
Experience the future of dentistry with CEREC technology - same-day crowns, veneers, and restorations.
Precision dentistry in one visit
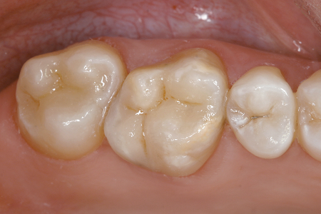
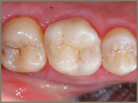
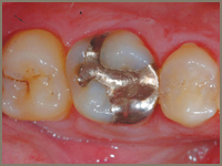
Before
After
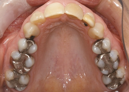
Before
After
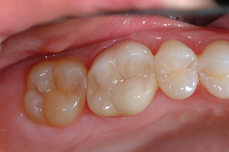
Before
After
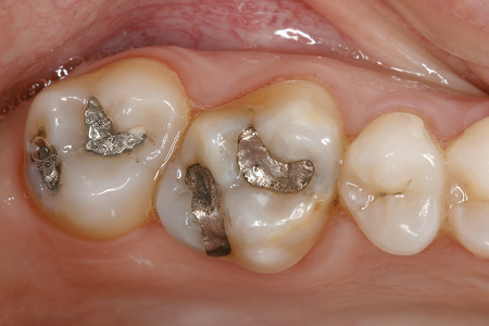
Before
After
Before
After
The 3D measuring camera scans the prepared tooth in seconds, which eliminates the need for unpleasant impressions.
CEREC restorations are milled out of a solid block of ceramic in just a few minutes, which are then ready to be cemented. This eliminates the need for temporaries.
CEREC restorations can be fabricated and cemented in one appointment. Our patients benefit from tooth restorations which have demonstrated their durability time and time again.
We discuss your treatment plan and prepare the tooth for restoration.
After removing decayed tissue, we create a 3D image of the tooth with the CEREC camera.
The restoration is digitally designed on the monitor of the CEREC acquisition unit.
The CEREC milling unit cuts the restoration out of a ceramic block.
After verification and try-in, the milled restoration is bonded directly to the tooth.
We're here to help your smile with exceptional dental care in a welcoming environment.
Conveniently located in Aventura, Florida
2999 NE 191st Suite
350
Aventura, FL 33180
+1 305 466 2359
Hablamos Español • Falamos Português
